INFORMACIÓN SOBRE DIVERSAS ENFERMEDADES
DISPLASIA DE CADERA
DISPLASIA DE CADERA
¿QUE ES LA DISPLASIA DE CADERA?
La displasia de cadera (DC) es una enfermedad hereditaria del desarrollo de las caderas. Se trata de una patología poligénica (inducida por varios genes, no por uno sólo, por eso es tan difícil de erradicar) y de origen multifactorial (factores como la alimentación, tipo de ejercicio, tipo de terreno, etc, pueden influir en la gravedad de la displasia)
Afecta generalmente a perros de razas grandes ( Terranova, Labrador, Golden Retriever, Pastor Alemán, Boxer, Mastín…), aunque también se puede ver en Cockers, Bulldogs, etc.
En las caderas displásicas a edades muy tempranas se comienza a notar una “hiperlaxitud coxofemoral”, ( es decir, las caderas están poco firmes dentro de la cápsula articular: la membrana que envuelve la articulación y que debería estar más tensa). Como consecuencia de esto, los dos componentes de la articulación: cabeza femoral y acetábulo de la pelvis, no encajan perfectamente uno con otro, y cada vez se alejan más, con lo que la congruencia articular cada vez se ve más comprometida ( ver foto). El resultado final de la displasia cuando ha transcurrido el suficiente tiempo es la artrosis de cadera o coxartrosis ( ver artrosis en el menú).
¿COMO SE SI MI PERRO PUEDE TENER DISPLASIA DE CADERA?
Uno de los problemas de la displasia es que en los cachorros de dos a cuatro meses (generalmente la edad en la que se adquieren o se regalan), la displasia puede pasar desapercibida ya que aún teniéndola a veces no da síntomas ni se observa en la radiografía. Con unas buenas técnicas de palpación ( test de Bardens, test de Ortolani), el veterinario puede sospechar que esas caderas tienen hiperlaxitud, y tomar medidas antes de que la displasia sea irreversible.
A medida que el animal crece, la displasia puede hacerse más evidente produciendo cojeras de mayor o menor severidad, molestias al levantarse o acostarse, un caminar característico moviendo de lado a lado el tercio posterior, o simplemente un rechazo a hacer el ejercicio que haría un cachorro de su edad. Hay que tener en cuenta que la mayoría ( 80-90%) de las DC son bilaterales ( ocurren en los dos lados).
¿QUE PRUEBAS LE HARAN A MI PERRO PARA CONFIRMAR LA DISPLASIA?
A los cachorros que no han mostrado síntomas antes, alrededor de los 6 meses se les examina la manera de andar, se hacen unas preguntas al propietario (anamnesis), y se realiza una palpación de las caderas.
A los perros de razas predispuestas o con antecedentes familiares de DC, en el CENTRO QUIRURGICO VETERINARIO también se hace una radiografía de caderas, que llamamos radiografía preventiva. Es una prueba con una anestesia más ligera que la radiografía “oficial”,( la cual se hace al año de edad, y es más fiable, ya que se hace cuando el animal ha dejado de crecer). Sin embargo, la ventaja que tiene esa Rx preventiva de los 6-8 meses de edad es que se pueden detectar displasias antes de que aparezca la artrosis, y por lo tanto queden secuelas de por vida. El veterinario evaluará esa radiografía y le otorgará un valor desde el Grado “A” ( caderas con perfecta conformación), hasta el Grado “E” ( caderas con displasia muy severa). Los tres primeros grados (A, B y C) son aceptables y la mayoría de Clubes de razas caninas admiten esos animales para la cría.
¿TIENE SOLUCIÓN LA DISPLASIA?
No siempre hay que operar la DC. Con un diagnóstico precoz, se pueden establecer tácticas encaminadas a paliar o mejorar los síntomas de displasia ( antiinflamatorios, fisioterapia, condroprotectores, modificación de hábitos de ejercicio y alimentación, pérdida de peso corporal, etc) de forma que muchos casos se tratan de forma conservadora bajo estricto control del especialista traumatólogo.
Hay que tener en cuenta que si se opta por este tratamiento y más adelante se comprueba que no funciona, no se puede volver atrás ya que la destrucción articular es irreversible y puede que sea demasiado tarde para operar.
Para las DC muy avanzadas o no diagnosticadas a tiempo, sin embargo, la única solución es la cirugía, y hoy por hoy existen varias técnicas que aportan resultados excelentes. La técnica de elección para revertir los efectos de la DC es la Triple Osteotomía Pélvica. Con esta intervención la cadera vuelve a su posición natural dentro del acetábulo y se evita que progrese la artrosis, con un porcentaje de éxitos muy elevado (más del 90%) siempre que se seleccione bien al paciente, ya que no en todos los animales se puede realizar esta cirugía ( por ejemplo, cachorros de más de 11-12 meses o displasias muy avanzadas).
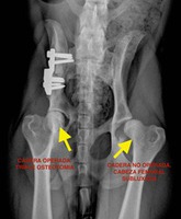
Para los otros casos de DC severa en los que no es factible la Triple Osteotomía, la técnica más adecuada es la Prótesis de cadera, ya sea cementada o no cementada, en la cual se reemplaza la cabeza del fémur y el acetábulo por componentes artificiales que duran toda la vida del animal.
Cuando por medio de unas radiografías especiales dinámicas (sistema PennHip o similares) se detecta la displasia de manera muy temprana (antes de los 4 meses) se puede hacer una Sinfisiodesis púbica: una fusión de los huesos del pubis para que los acetábulos al crecer se “abran” y cubran mejor las cabezas femorales.
¿QUE SECUELAS PUEDEN TENER LOS ANIMALES CON D.C.?
En los casos que se operan, aunque el animal sigue teniendo la carga genética de la DC, y por lo tanto no se pueda cruzar, las caderas se vuelven casi normales incluso a largo plazo.
Los casos no operados desarrollarán artrosis, tanto más severa cuanto más avanzada sea la DC. Hoy en día hay pautas que consiguen paliar los efectos de la artrosis a largo plazo ( ver artrosis)
- ·CADERA NORMAL
Las cabezas femorales son esféricas, el ángulo que forman con el cuello del fémur es de 145 grados y están bien encajadas dentro del acetábulo de la pelvis, siendo concéntricas con éste
Inicio
Mapa web


