INFORMACIÓN SOBRE DIVERSAS ENFERMEDADES
ARTROSIS
¿QUÉ ES LA ARTROSIS?
La artrosis es una enfermedad articular caracterizada por una degeneración y erosión del cartílago articular, y por la producción de hueso de nueva formación (osteofitos) en los márgenes articulares. Otros sinónimos son “osteoartrosis”, por estar también afectado el hueso subcondral, con esclerosis, inflamación y microfracturas, o “osteoartritis”, para hacer hincapie en la naturaleza ligeramente inflamatoria del proceso, sobre todo a nivel de la membrana sinovial.
La mayoría de los investigadores están de acuerdo en que el primer cambio detectado en una articulación con artrosis es una pérdida de proteoglicanos superficiales ( un componente del cartílago) en las zonas afectadas, lo que resulta en un metabolismo y medio ambiente diferente para los condrocitos (las células del cartílago). Más adelante sobrevienen la inflamación de la membrana sinovial (la cápsula que envuelve la articulación), y la correspondiente efusión sinovial ( derrame articular). Esto hace que la articulación esté peor lubrificada, y en el cartílago aparezcan condromalacias, fibrilaciones y ulceraciones ( distintas formas de daño en el cartílago). Paralelamente se producen concreciones de hueso inmaduro en los alrededores de la articulación (osteofitos), que pueden rozar con la membrana sinovial y crean molestias y restricciones en el movimiento articular.
¿QUÉ PUEDE CAUSAR UNA ARTROSIS?
Al contrario que ocurre en las personas, la mayoría de artrosis en los animales es secundaria, no primaria. Esto quiere decir que no son cambios ligados a la vejez, sino que es la respuesta de la articulación ante una lesión (por ejemplo una rotura de ligamentos, fractura intraarticular, etc). Eso significa que solucionando la causa de esa artrosis, se podría frenar o enlentecer su evolución.
Las causas más frecuentes de artrosis son:
Cadera: Displasia de cadera, Enfermedad de Legg-Perthes, Luxación de cadera
Rodilla: Rotura del ligamento cruzado anterior, Luxación de rótula
Tarso (tobillo): Rotura de ligamentos, Osteocondritis de tarso
Hombro: Osteocondritis de hombro, lesiones del tendón del bíceps
Codo : Displasia de codo
Carpo ( muñeca): Rotura de ligamentos carpales
¿CÓMO SABER SI MI PERRO/GATO TIENE ARTROSIS?
La mayoría de los animales con artrosis no tienen dolores intensos ( salvo que la artrosis esté muy avanzada), sino molestias o dolores leves pero constantes.
El síntoma más común es la cojera, aunque hay animales con artrosis que no cojean abiertamente, sino que sólo les cuesta moverse, dejan de hacer gestos y movimientos que antes hacían sin problemas (subir de un salto al coche, ponerse en dos patas, subir al sofá, etc), aguantan menos el ejercicio físico, o pasan gran parte del día tumbados. El propietario deberá estar atento a estos “avisos” que le da su mascota para que sospechemos que está desarrollando una artrosis. Esto es especialmente importante en los gatos, unos animales de los que hasta hace poco se pensaba que no sufrían esta patología pero que los veterinarios estamos empezando a detectar.
El tipo de cojera en la artrosis es muy variable. Depende de la articulación afectada ( la cadera por ejemplo molesta menos que el codo), depende de la raza de animal ( por ejemplo el Bulldog la suele sobrellevar muy bien), depende de la causa primaria, etc. En general es un tipo de cojera moderada, con restricción de movimiento articular, que afecta más por las mañanas o después de un descanso de un ejercicio intenso ( cojera en frío), y que mejora al cabo de unos minutos de actividad.
Factores externos que pueden empeorar la cojera de una artrosis son la humedad, el frío, el sobrepeso o el ejercicio intenso en superficies duras.
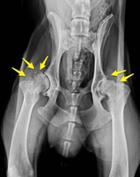
¿QUÉ PRUEBAS SE PUEDEN HACER PARA CONFIRMAR LA ARTROSIS?
Una vez el veterinario, por medio de la anamnesis y el examen físico tiene la sospecha de una artrosis, la prueba más sencilla para confirmarlo es una RADIOGRAFÍA.
Los signos radiológicos de artrosis (puede tener uno, varios o todos) son:
- Efusión sinovial ( derrame articular)
- Presencia de osteofitos ( áreas de hueso inmaduro que se aprecian en la radiografía como perlitas de hueso o como irregularidades en el contorno de la articulación)
- Esclerosis subcondral ( líneas blancas en el hueso adyacente a la articulación)
- Disminución del espacio articular por erosión del cartílago
En casos dudosos o complicados, la ARTROCENTESIS (una sencilla técnica de punción articular), y el análisis del líquido sinovial extraído con esa punción nos pueden dar la clave para averiguar lo que está ocurriendo en el interior de la articulación.
Otras técnicas ya más complicadas para visualizar el interior articular y detectar la gravedad de la artrosis y sus posibles soluciones son la RESONANCIA MAGNÉTICA y la ARTROSCOPIA (ver apartado “artroscopia”).
¿SE PUEDE CURAR LA ARTROSIS?
La artrosis en el perro y gato, al igual que en personas, no se puede “curar”. El animal afectado siempre tendrá un mayor o menor grado de artrosis, pero gracias a las nuevas técnicas quirúrgicas y productos farmacológicos, el traumatólogo puede conseguir que su paciente lleve una vida lo más placentera posible:
Lo primero que se debe hacer para controlar la artrosis es solucionar quirúrgicamente la causa primaria (displasia de cadera, displasia de codo, rotura de ligamentos, etc), ya que en caso contrario, la artrosis continuará avanzando a gran velocidad y extendiéndose por toda la articulación.
Una vez hecho esto, ya se pueden instaurar diversos programas de control de artrosis que deberían ser personalizados para cada paciente. Una guía muy básica sería:
ARTROSIS LEVES: En casos leves o en fases iniciales, el traumatólogo le dará unas simples pautas de moderación del ejercicio (intensidad, frecuencia, tipo de terreno, etc) , pérdida de peso, y consumo periódico de productos que consiguen ralentizar la artrosis protegiendo el cartílago articular (llamados “Condroprotectores”).
Estos condroprotectores se pueden administrar ya incluidos en el pienso, como hacen algunas marcas (Royal Canin), en forma de tabletas, que es lo más habitual (por ejemplo Condrovet®, Cosequin®, etc), o también inyectados ( en nuestro centro usamos mucho el “pentosan polisulfato”, un protector articular procedente de Inglaterra y Estados Unidos que ofrece muy buenos resultados sobre todo en cojeras de codo) . El beneficio de todas estas sustancias en personas y animales con artrosis está avalado por numerosos estudios.
Existen otros piensos que también incluyen sustancias (como el Acido Eicosapentanoico,, L-Carnitina, etc) (www.movilidadmascotashills.es) que consiguen frenar algunos de los signos de la artrosis, y su consumo se ha asociado a una mejora en la calidad de vida del animal artrósico en estudios clínicos.
ARTROSIS MODERADAS. Además de todo lo anterior, también en esta fase se incluye la administración de antiinflamatorios e inicio de fisioterapia.
Los antiinflamatorios más usados en la artrosis son los AINE´s (antiinflamatorios no esteroideos). Son muy efectivos en reducir el dolor y la inflamación de la membrana sinovial. También consiguen desbloquear el movimiento de la articulación y algunos modernos AINE´s incluso son capaces de enlentecer el curso de la enfermedad. Los productos más usados en el CENTRO QUIRURGICO VETERINARIO para el control a
largo plazo de la artrosis son el firocoxib (Previcox® ) y el carprofeno (Rimadyl®). Ambos tienen un perfil de seguridad contrastado y una alta eficacia. La pauta de tratamiento recomendada por la mayoría de investigadores es de varias semanas consecutivas para que el efecto sea máximo en duración y resultados.
La rehabilitación y fisioterapia son importantes en esta fase de la enfermedad ya que bien aplicados ayudan a reducir el dolor, prevenir la atrofia muscular, mejorar el rango de movimiento reduciendo la fibrosis periarticular, etc. Todo esto resulta en un paciente con una movilidad mejorada y menor necesidad de medicación.
En casos especiales, en nuestro centro también realizamos infiltraciones articulares de Ácido Hialurónico, un sustancia usada en medicina humana que ayuda a la lubrificación de la articulación y mejora algunos signos de la artrosis ya que forma parte del liquido sinovial normal.
ARTROSIS SEVERA. Cuando el dolor y bloqueo articular son extremos e incontrolables con todas las demás estrategias terapéuticas, la única manera de que la articulación siga funcionando es hacer una “artrodesis” (es decir, una fusión quirúrgica de la articulación).
Por medio de placa y tornillos, agujas, o fijadores externos, se consigue dar rigidez a la articulación que aunque dejará de moverse, también dejará de doler, y el animal con el tiempo aprende a caminar con esa articulación fusionada. Los resultados son muy buenos en carpo y tarso, pero en codo, rodilla y hombro son menos efectivos. En las caderas con artrosis no se hace una artrodesis, sino una prótesis de cadera, que con un porcentaje muy bajo de complicaciones, consigue muy buenos resultados.
Inicio
Mapa web


